Digital Pathology and Eosinophil Detection

Project Title There is growing interest in pathology in analyzing digital slides of eosinophil cells. Unfortunately for pathologists, this is a time-consuming process to complete by hand.

The intent of this project is to design and implement an algorithm that will receive a digitized slide of human nasal tissue and output the density of the eosinophil cells in the slide. Digital slides are obtained through a collaboration with the Pathology department at the University of Pennsylvania.

Team Members

Robert Ross

Robert Ross

rr625@drexel.edu

Dan Perlman

Dan Perlman

dmp359@drexel.edu

Aman Agrawal

Aman Agrawal

aa.in201@gmail.com

Curtis Bechtel

Curtis Bechtel

crb359@drexel.edu

Joe Urbano

Joe Urbano

jau35@drexel.edu

Katie Zhao

Katie Zhao

kz94@drexel.edu

Dresden Feitzinger

Dresden Feitzinger

df455@drexel.edu

Screenshots

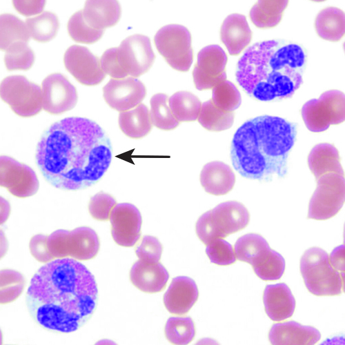
Cells

Cells


Eosinophil cell example

Image Processing

Image Processing


Image Processing

Behind the Scenes

Professor Jeff Salvage

Faculty Advisor
Professor Jeff Salvage

jks29@drexel.edu

cs.drexel.edu/~jsalvage

Dr. David Breen

Technical Advisor
Dr. David Breen

david@cs.drexel.edu

cs.drexel.edu/~david/